We’re Accepting New Patients!

Read More Next

Looking for a caring and professional dental practice? We’re excited to welcome new patients to our clinic! Whether you’re due for a check-up, need treatment, or are looking to enhance your smile, our friendly team is here to help.
Contact us today to book your first appointment—we look forward to meeting you!

WHAT IS COMPOSITE BONDING

WHAT IS COMPOSITE BONDING


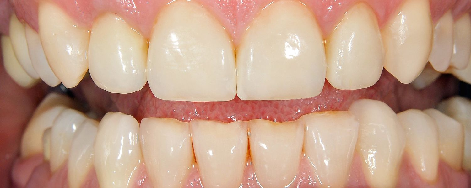
Composite bonding – what is it and how can it improve your smile?

Want to refresh your smile? Composite bonding is a relatively simple technique that your dentist can use to transform your smile with ease.

WHAT IS COMPOSITE BONDING?

When you choose to have composite bonding, your dentist will use a tooth-coloured composite resin to shape, repair or correct the shape of your teeth. One placed, this resin is hardened using an ultraviolet light.

After the resin has been hardened (cured), your dentist will often trim, polish and shape it so that it seamlessly blends with your smile while also correcting any damage.

WHAT CAN COMPOSITE BONDING DO FOR MY SMILE?

Composite bonding is a versatile procedure that can be used in a variety of situations.

It can be used to:

  • Repair any minor damage to teeth (chips and cracks)  
  • Fill gaps between teeth, for example, if you want to have a gap between your front teeth narrowed or closed  
  • Reshape uneven edges of teeth  
  • Fix tooth discolouration  
  • To replace amalgam (metal) fillings

WHAT ARE THE BENEFITS?

Composite bonding can transform your smile in as little as a single visit to your dentist!

It’s a fast treatment option that can not only completely transform your smile, but also transform your confidence too! It can help to you to have a more natural-looking smile, especially if you want to replace existing metal fillings.

As composite is added to the teeth during this procedure, that means that there’s often no need for any drilling or removal of your natural tooth.

Composite bonding is also a much more affordable and less time-consuming option compared to treatments such as veneers. It doesn’t damage your natural smile, unlike the placement of dental crowns. In fact, if you combine composite bonding treatment with tooth whitening, you can often achieve a smile that looks completely different but still beautifully natural!

HOW LONG DOES IT LAST?

Much like your natural teeth, composite is subject to wear and tear over time. Usually, composite bonding will last for 5 to 7 years, though this will depend on factors such as your diet as well as certain habits and behaviours. For example, if you often eat hard foods or clench and grind your teeth in your sleep, it’s reasonable to expect composite bonding to need attention a little sooner.

The plus side of this, however, is that composite bonding is easy to repair and replace when necessary!

We have dentists who are members of the British Academy of Cosmetic Dentistry (BACD). This means that they are passionate about cosmetic dentistry and are experts at providing composite bonding as part of the education supported by the Academy.

To find out more about composite bonding and whether it’s an option for you, please contact the dental team today.